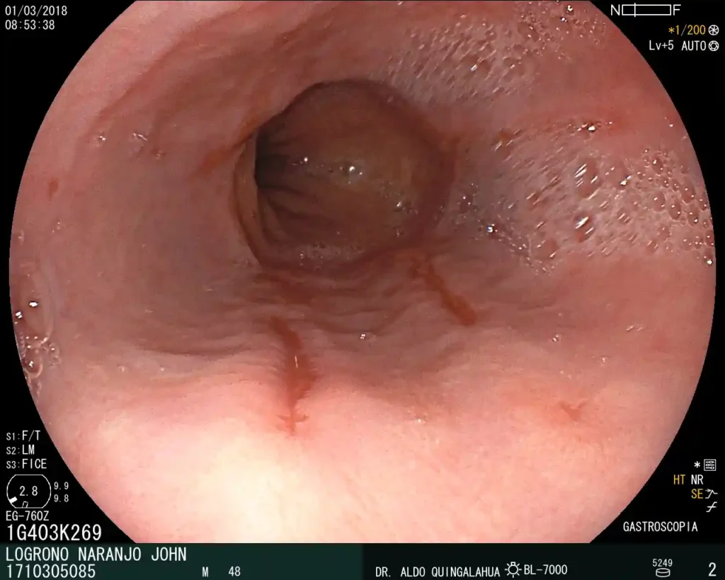
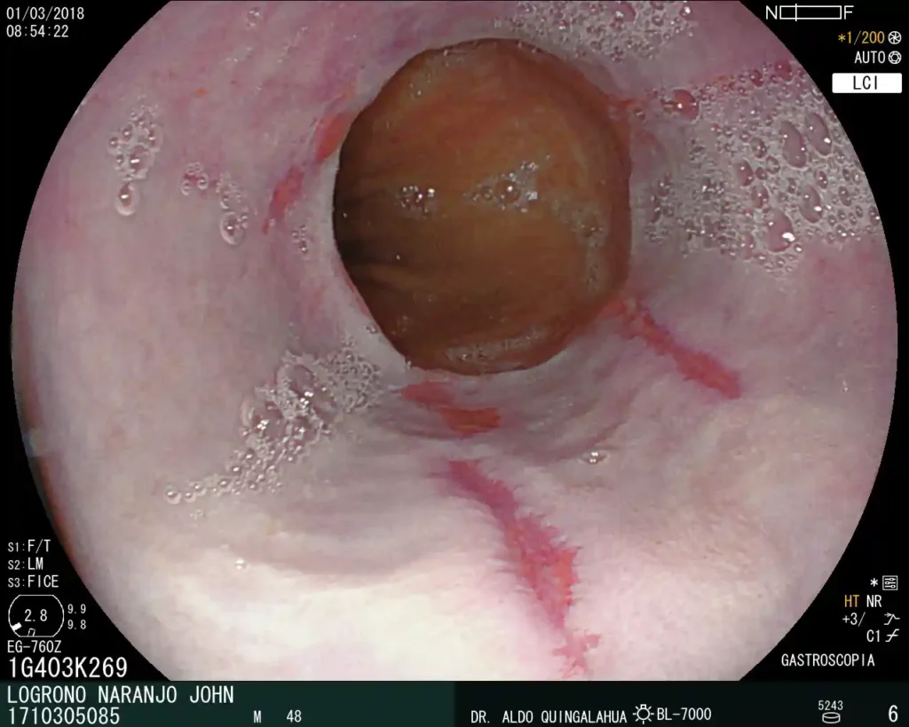
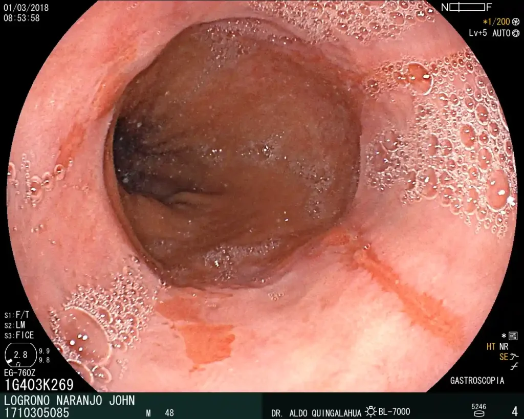
Paciente de 48 años con cuadro clínico de varios años de evolución caracterizado por regurgitación y pirosis intensa; se realiza video endoscopia digestiva alta y se observan varias erosiones lineales mayores de 5 mm no confluentes entre sí, que se evidencian mejor con cromo endoscopia digital con BLI y LCI caracterizándose como una Esofagitis por reflujo grado B de la clasificación de los Ángeles. Además, se aprecia una gran hernia hiatal por deslizamiento tanto a la visión frontal como a la retro visión desde la cámara gástrica.






